• Главная
  • Заболевания кожи
    • Причины прыщей
      • Подростковые прыщи
      • Прыщи в интимных местах у женщин, мужчин
      • Прыщи у детей
      • Прыщи у женщин
      • Прыщи у мужчин
  • Лечение прыщей
    • Быстрые и эффективные способы лечения прыщей
    • Как избавиться от прыщей
    • Косметологические процедуры от прыщей на лице
    • Средства от прыщей
      • Антибиотики от прыщей
      • Косметика от прыщей
  • Формы акне и виды прыщей
    • Легкая форма прыщей и акне
    • Средняя форма прыщей
    • Тяжелая форма прыщей
  • Болезни
  • Здоровье
  • Косметология
  • Красота
  • Стоматология
  • Фитнес и питание
  • Лекарства
  • Полезное
войти в систему
Добро пожаловат!Войдите в свой аккаунт
Вы забыли свой пароль?
восстановление пароля
Восстановите свой пароль
Поиск

Doloipryshi.ru

  • Главная
  • Заболевания кожи
    • Заболевания кожи

      Лечение сосудов на лице в современной косметологии

      Заболевания кожи

      Как ухаживать за кожей при атопическом дерматите

      Заболевания кожи

      Причины для обращения к дерматологу

      Заболевания кожи

      Когда необходим визит к дерматологу?

      Заболевания кожи

      Фототерапия в лечении псориаза

    • Причины прыщей
      • ВсеПодростковые прыщиПрыщи в интимных местах у женщин, мужчинПрыщи у детейПрыщи у женщинПрыщи у мужчин
        Прыщи у мужчин

        Как выбрать стоматологию для лечения зубов?

        Подростковые прыщи

        Ромашки: красивые и необычные цветы, которые радуют своей красотой

        Полезное

        Солнцезащитные очки: аксессуар первостепенной важности, как часы или любимый головной убор

        Причины прыщей

        Лечение наркозависимости в условиях клиники

  • Лечение прыщей
    • ВсеБыстрые и эффективные способы лечения прыщейКак избавиться от прыщейКосметологические процедуры от прыщей на лице
      Лечение прыщей

      Высыпания на лице

      Лечение прыщей

      Средства от угрей и прыщей: методы лечения акне

      Быстрые и эффективные способы лечения прыщей

      Критерии выбора банного чана

      Лечение прыщей

      Средство Потенциалекс

    • Средства от прыщей
      • ВсеАнтибиотики от прыщейКосметика от прыщей
        Препараты для лечения прыщей

        Алиф Банк: один из быстро развивающих банков Таджикистана

        Средства от прыщей

        Дистанционная литотрипсия — быстрый способ избавиться от камней в почках без…

        Средства от прыщей

        Способы химчистки мебели

        Средства от прыщей

        Критерии выбора стоматологической клиники

  • Формы акне и виды прыщей
    • ВсеЛегкая форма прыщей и акнеСредняя форма прыщейТяжелая форма прыщей
      Формы акне и виды прыщей

      Мужской костюм: правила выбора и секреты стиля

      Формы акне и виды прыщей

      Преимущества изделий из натурального камня

      Тяжелая форма прыщей

      Строительство бассейнов в Одессе по приемлемой цене от мастеров из компании…

      Тяжелая форма прыщей

      Особенности криотерапии

  • Болезни
  • Здоровье
  • Косметология
  • Красота
  • Стоматология
  • Фитнес и питание
  • Лекарства
  • Полезное
Суббота, 31 января, 2026
войти в систему
Добро пожаловать! Войдите в свою учётную запись
Forgot your password? Get help
восстановление пароля
Восстановите свой пароль
Пароль будет выслан Вам по электронной почте.
Спорт и фитнес

Scores24: спортивный онлайн-сервис, ежедневно оповещающий посетителей о результатах матчей на все...

Luda - 17.05.2021 0
Полезное

Особенности обслуживания инженерных систем здания

Luda - 17.05.2021 0
Здоровье

Катаракта: необратимое помутнение хрусталика глаза

Luda - 17.05.2021 0
Дом и быт

Рейтинг лучших холодильников Samsung 2021 года

Luda - 16.05.2021 0
Здоровье

Что лечит врач-гастроэнтеролог?

Luda - 16.05.2021 0
Полезное

Типичные неисправности принтеров

Luda - 16.05.2021 0
Красота

Как заказать продукцию Орифлэйм?

Luda - 16.05.2021 0
Здоровье

Что лучше вибратор или фаллоимитатор?

Luda - 16.05.2021 0
Косметология

Какие проблемы решает трихология?

Luda - 14.05.2021 0
Новости

Как обыграть казино Pokerdom?

Luda - 14.05.2021 0
Полезное

Натуральная кожа: уникальный природный материал, который представляет особый интерес для любого...

Luda - 14.05.2021 0
Красота

Billcee: турецкий бренд спортивной одежды высокого качества

Luda - 14.05.2021 0
Стоматология

Красивая улыбка: визитная карточка человека

Luda - 13.05.2021 0
Стоматология

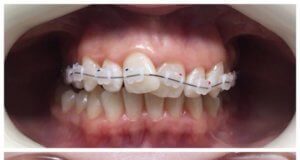
Как вставляют брекеты: этапы ортодонтического лечения

Luda - 13.05.2021 0
1...262263264...371Страница 263 из 371

Это Вам пригодится!

Современная мебель для прихожей: рекомендации по выбору

19.12.2020

Диспенсеры: устройства на все случаи жизни

01.10.2022

Итальянская профессиональная косметика для волос: хороший выбор

24.12.2021

Почему стоит обратиться в медицинский центр Диво?

07.03.2022

Необходимость проведения мужского маникюра

12.01.2022

Время острых ощущений: как уберечься от «курортного» синдрома и неласкового солнца

24.07.2025
Doloipryshi.ru. Как вылечить прыщи в домашних условиях? Практические советы для всех!

Популярные посты

Где заказать доставку продуктов на дом?

28.03.2021

Кровяной прыщ на половой губе, на лобке, в интимных местах

13.12.2017

Как пользоваться виртуальным номером?

29.03.2021

ПОПУЛЯРНЫЕ КАТЕГОРИИ

  • Здоровье1637
  • Новости1271
  • Полезное714
  • Стоматология296
  • Красота192
  • Косметология186
  • Дом и быт141
  • Болезни131
  • Средства от прыщей96
© Doloipryshi.ru