Настойка черного ореха: для каких целей используется?
Черный орех ― ценное лекарственное растение, отличающееся высокой концентрацией нафтохинонов и других биологически активных веществ. Эти природные соединения входят в состав околоплодников, листьев и...
Феррогематоген Фит: использование
Кратко о товаре
Биологически активная добавка (БАД) к пище. Не является лекарством.
Состав
Сахар, молоко цельное сгущенное с сахаром, носитель: микрокристаллическая целлюлоза, патока крахмальная, какао-порошок, альбумин черный...
Мелагелин: применение препарата
Мелагенин плюс аптека (MELAGENIN PLUS) – эффективное натуральное средство для лечения ВИТИЛИГО, стимулирующее синтез меланина в меланоцитах под действием солнечного света.
Инструкция к применению:
Форма выпуска: лосьон для наружного...
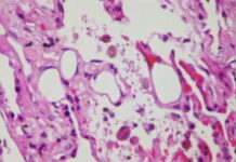
Симптомы жировой эмболии
Жировая эмболия – это нарушение, которое вызывает полную обструкцию кровеносных сосудов вследствие скопления жира.Хотя это и не приходится заболеванием и как правило может лечиться...
Этапы реабилитации при алкогольной зависимости
Согласно руководству ВОЗ (Всемирной организации здравоохранения) по классификации психических и поведенческих расстройств, алкогольная зависимость определяется как «набор когнитивных и физиологических поведенческих явлений, при которых...
Как правильно пить льняное масло?
Виды льняного масла
Льняное масло по ссылке – это продукт переработки семян льна. В зависимости от технологии производства выделяют несколько видов:
Нерафинированное льняное масло -...
Лечение позвоночника на аппарате Ormed
Ormed — это профессиональная механотерапевтическая установка для дозированного вытяжения (тракции) позвоночника, суставов и вибрационно-теплового, роликового массажа. Аппарат эффективен при реабилитации и профилактике заболеваний у...
Ortonica: жизнь в движении для людей с ограничениями по состоянию здоровья
Чтобы человеку с ограниченными возможностями было комфортно и удобно передвигаться, необходимо приобретать качественное оборудования для самообслуживания. Инвалидные коляски Ортоника являются ярким примером надежных изделий...
Методы выведения слизи из носоглотки
Наличие слизи в горле является естественной физиологической функцией организма, она помогает защите от бактерий и служит смазкой верхних дыхательных путей. Это нормально – проглатывать...
Статистика коронавируса в России
Почему врачи покидают больницу, хотя сами контактировали с заболевшими?
Во время работы персонал использует средства индивидуальной защиты (маски, респираторы, перчатки, медицинские шапочки). В конце каждой...







































