Как подготовить лежачего больного к перевозке?
Каждый день во всем мире люди нуждаются в медицинской помощи. Врачи и медперсонал неустанно работают над спасением и улучшением жизни людей, особенно лежачих. Служба...
Чем отличается булимия от анорексии?
Выявление и отграничение психологических расстройств почти никогда не обходится без осложнений. В этом смысле существует очень мало категорий (если они вообще есть), которые имеют...
Важность лечения наркомании в стационаре
В современном мире существует одна из глобальных проблем, которая коснулась практически каждую семью и с каждым годом она становится все острее и острее, и...
Вывод из запоя: экстренная помощь в любой ситуации
Очень многие современные люди страдают от алкоголизма, только к сожалению, они не признаются, что у них есть плохая привычка, с которой они не могут...
Когда нужна помощь трихолога?
Очень часто, как мужчины, так и женщины мучаются с тем, что у них выпадают волосы на голове, они очень ломкие, секутся не растут и...
Что показывает КТ челюсти?
Компьютерная томография, также называемая КТ, — это неинвазивный медицинский тест, который сочетает в себе серию рентгеновских снимков, сделанных под разными углами, чтобы получить множественные...
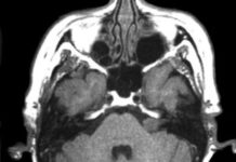
Что показывает МРТ черепно-мозговых нервов?
МРТ черепно-мозговых нервов очень частая и востребованная услуга. Стоит отметить, что ее проводят специально для того чтобы визуально посмотреть патологии и разные дисфункции. Нервная...
Как подготовиться к ультразвуковому исследованию суставов?
УЗИ суставов в Воронеже — безопасный диагностический тест, использующий звуковые волны для получения изображения тканей внутри тела. Каков метод этого режима визуализации?
Для проведения ультразвукового...
Этапы наркологической помощи в клинике
Профессиональная наркологическая терапия в Варшаве проводится во многих специализированных центрах, в том числе и в нашей современной Детокс клинике. Эффективное лечение наркомании требует применения...
Кристалл: многопрофильный медицинский центр в Оренбурге
Многопрофильный медицинский центр Кристалл работает с соблюдением основных прав безопасности и качества. «Качество обслуживания, надежность и персонализация услуг» Медицинский центр Кристалл — это многопрофильная...






































