Лечение бородавок и папиллом: длительный и сложный процесс
В современном мире существует огромное число различных факторов, которые негативно воздействуют на состояние человека, на его внешний и внутренний вид, на его здоровье и...
Имплантация зубов: современный метод спасения красивой здоровой улыбки
Каждый современный человек стремится к тому, чтобы всегда и в любой ситуации выглядеть привлекательно и безупречно, чтобы оставлять о себе хорошее впечатление, свободно общаться...
Что лечит врач гинеколог-эндокринолог?
Женское здоровье является тонкой организацией, поэтому относиться к нему следует бережно и внимательно. При появлении дискомфорта, беспокоящих симптомов, не нужно откладывать помещение специалиста, а...
Зубные импланты: оптимальный вариант восстановить утраченные зубы раз и навсегда
На сегодняшний день имплантация зубов позволяет вернуть себе утраченные зубы. Только имплантаты дают возможность вернуть работу зуба полностью, кроме того, они отлично заменяют корень,...
Frag hgh 176-191 : жиросжигающий курс пептидов
В современном мире существует огромное количество людей, которые имеют лишний вес, и он им не просто мешает, а действительно негативно и максимально отрицательно сказывается...
Плюсы лечения наркологическом центре
В современном мире многие люди для того, чтобы вылечиться от наркологической зависимости выбирают Наркологический центр. Это можно объяснить тем, что данный способ обладает большим...
Советы по выбору гастроэнтеролога
В настоящее время каждому человеку необходимо внимательно относиться к своему здоровью, к своему самочувствию, потому что ежедневно на тело и организм воздействует огромное количество...
Лечение рака на поздних стадиях Лютецием 177
Лютеций -177 – это уникальное вещество, которое может изменить ситуацию онкологии в корни. Производство данного препарата на его основе для лечения онкологических заболеваний началось...
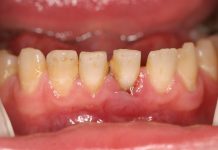
Методы лечения пародонтоза
Пародонтоз – это опасное заболевание, которое может возникнуть в любом возрасте. Если его не лечить, то результатом становится потеря даже здоровых моляров. Но болезнь...
Этапы установки виниров
Голливудская улыбка в наши дни – это привилегия не только богатых и знаменитых. Это услуга, которая в настоящее время считается доступной каждому. В том...







































