FlexLigner: европейские технологии
«ФлексиЛайнер» https://flexiligner.ru/ — это эффективное решение для исправления прикуса без брекетов. Отличие флексов от других элайнеров заключается в том, что они могут справиться даже в...
Стоматологическая клиника Династия: лечение зубов
Для комфорта и спокойствия наших пациентов специалисты частной стоматологии «Династия» в Долгопрудном Династия осуществляют внимательный подбор анестезии с учетом особенностей каждого человека и потенциальных...
Металлокерамические коронки обладают хорошей: эстетикой и высокой прочностью
Металлокерамические коронки люди применяют чаще всего, они считаются самыми распространенными. Такие варианты чаще всего устанавливают на задние зубы, те, которые не видно во время...
Плюсы съемного протезирования зубов
Какое протезирование зубов выбрать?
Зубными протезами называют все стоматологические конструкции, которые компенсируют утраченные зубы. Их различают в первую очередь по способу крепления, а также по...
Правила выбора стоматологической клиники
Научно-технический прогресс продолжает приятно удивлять нас своими достижениями. Не является исключением и область стоматологии. Эта отрасль медицины развилась за последнее десятилетие буквально до неузнаваемости. Многочисленное количество стоматологических клиник в каждом городе России,...
Почему стоит выбрать имплантацию зубов?
Основные преимущества имплантации
Методика имплантации зубов shopmost.ru от прочих альтернатив отличается рядом преимуществ.
Импланты служат долго и эстетично выглядят
Установку традиционных мостов, скорее всего уже через 5...
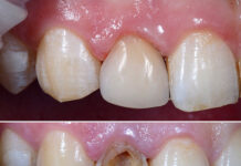
Этапы лечения кариеса
Грамотное лечение кариеса состоит из последовательного выполнения ряда этапов:
1 этап. Удаление налета. Гигиеническая чистка зуба с кариесом, а также соседних зубов, от налета, твердых и...
Как выбрать надежного стоматолога?
Лечение без проблем: как выбрать стоматологию?
Стоматологические услуги предлагают как муниципальные, так и частные клиники. В частном секторе все центры делятся на три класса –...
Зубные протезы: критерии выбора
Протезирование зубов – востребованная услуга среди пациентов стоматологических клиник. Процедура позволяет восстанавливать утерянные зубные элементы, сохранять прикус, а также жевательные и речевые функции. Существуют...
Способы восстановления утраченных зубов
Современная стоматология позволяет восстанавливать зуб при небольших дефектах (трещины, сколы) или при полном разрушении коронки зуба.
Когда надо восстанавливать зуб?
Зубы разрушаются по многим причинам, но...







































